新春佳节临近,锦州市妇婴医院(妇幼保健院)党政领导班子深入开展节前走访慰问活动,为老干部、困难党员、群众和援疆干部等群体送去慰问和新春的祝福。 ...
01-192023春节临近,为切实加强医院各项安全生产工作,有效防范安全事故的发生,1月19日上午,医院党政领导班子带领相关职能科室负责人成立督导检查组,并开展地毯式安全生产大检查。本次检查重点强调了医院安...
01-1920231月13日,在新春佳节即将来临之际,锦州市妇婴医院(妇幼保健院)党委书记徐艳、院长金凤斌一行深入凌海市双羊镇午旗村慰问驻村干部宁莉,走访看望村里生活困难党员,送去来自妇婴医院的爱心和温暖。...
01-1920231月13日下午14:30,市委常委、市委秘书长杨旭,市政府副市长缪徵阁一行来到锦州市先进工作者、锦州市妇婴医院(妇幼保健院)护士长艾迪思的家中,为她送去了节日的祝福,向奋战在一线的医护人员...
01-1320231月12日上午,市妇联党组书记、主席张静,市妇联党组成员、副主席李冬青及相关部室工作人员一行来到锦州市妇婴医院(妇幼保健院)送来慰问品,深入医疗一线看望慰问了医护人员,向医护人员致以节日问...
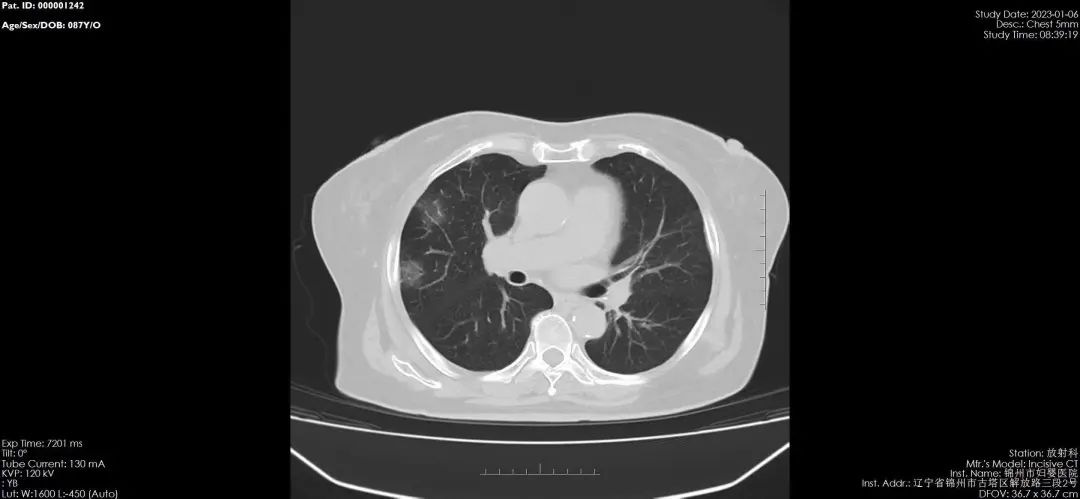
01-132023鉴于新冠病毒感染后容易出现肺部感染和肺部炎症等情况,很多感染者有肺CT检查的需求,为了让患者得到及时的检查,锦州市妇婴医院(妇幼保健院)积极开展成人及儿童的肺CT检查诊疗服务,并推出门诊优...
01-132023锦州市妇婴医院(妇幼保健院)放射线科,于2020年引进国内最新进口飞利浦64排128层螺旋CT,扫描速度快、分辨率高、层数更薄,对病毒性肺炎有着更高的检出率和准确率,可以更好的与其他肺炎进行区分,对早...
01-062023初冬的锦城,儿童发热门诊的医护人员站在了新形势下抗击疫情的“最前沿”。在医护力量紧张、工作量陡增的情况下,白衣战士们坚持“人民至上、生命至上”总方针,勇毅前行,用坚守践行初心与使命,用实际...
01-062023短短几天的时间里,身边的医护人员几乎都开始阳了,在检验科有这样一群人在与病毒作战,在与时间赛跑,用无悔的坚守践行着妇婴精神。面临人员陆续病倒下的工作压力下,检验科人一个人当两个用,从早晨8...
01-062023三年来,锦城的人民在无数次的给全国各地人民加油后,2022年的冬天我们真正的感受到了疫情的无情。 过去的三年,医务人员一直是疫情防控的主力军。一次次的学习、一次次的演练,随着...
01-062023