大医厚德  仁怀济世

转作风  抓质量  强服务  树品牌

您的位置:首页 > 医院动态

【优势专科】退不掉的高热,究竟是谁在“捣鬼”?

发布时间:2024-04-15作者:点击量:1957
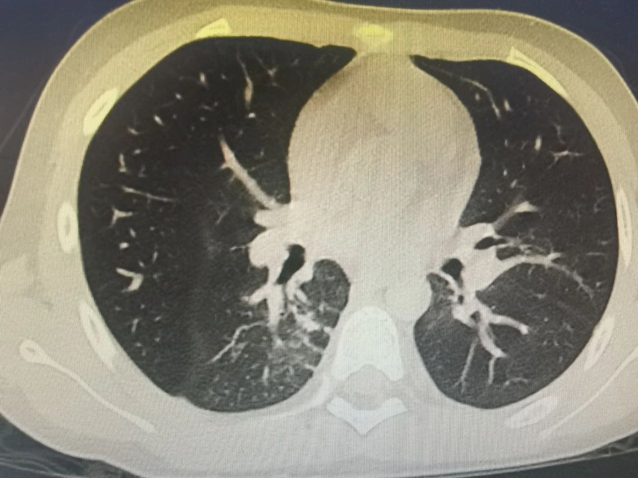
      半个多月前,一名9岁的小男孩七七在父母的陪伴下,来到了锦州市妇婴医院(妇幼保健院)小儿呼吸科。因为反复高热、咳嗽10天,辗转于外院治疗6天,病情却逐渐加重,反复39-40度不退,复查的肺CT提示重症肺炎。
      接诊后,当班的齐思梦医生敏锐地捕捉到重要信息:每天有将近40度的高热,持续10天;经过正规抗炎治疗6天,完全无效;合并有胸腔积液。

      种种迹象表明,这是一个重症,必须积极处理。于是,在入院后的第一时间内,齐医生立即完善相关检查,并积极抗感染、雾化、营养支持等治疗,但孩子的病情仍在进一步进展。夜间,这个小男孩出现了呼吸急促,经皮血氧饱和度下降,这时候,血化验结果陆续回报,炎症指标飙升,血凝指标近10倍增高……马上吸氧,抗凝等对症处置。与刘铁英主任和王晓巍副主任沟通会诊,科室迅速召开重症讨论,定下治疗方案。齐医生耐心详细地向家属交代患儿目前需行支气管镜介入治疗,得到家属的签字同意后,于入院第2天即完成了第一次支气管镜介入治疗, 30分钟后孩子就安全返回病房,术中吸出3个较大的“树枝样”塑型痰栓及数个小痰栓。术后当晚,孩子精神状态明显好转,食欲增加,家属高兴的对医生们说:“你们太厉害了,这一天就精神了”。

      在医护人员精心的治疗和护理下,七七一天比一天见好,这期间七七又做了2次支气管镜进行“洗肺”,把积存于各个小气管、“小枝儿”里的痰栓彻底清理后,七七的体温逐步下降到正常,呼吸也逐渐平稳。从一开始的抗拒,到后来做完支气管镜能和齐医生们说谢谢,小七七也表现出了惊人的勇敢和坚强、懂事。

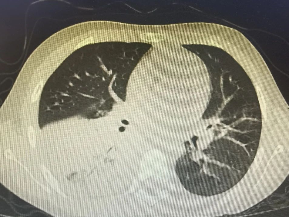
      节假日期间,七七出现了间歇性胸痛,疼出了眼泪,又出现了一次低热,家属的心再一次提到了嗓子眼儿。刘铁英主任连忙赶到医院看望他,担心重症肺炎可能出现恢复期的肺栓塞,又紧急联系放射线,放射线曹主任马上安排会诊给他急查了肺增强CT。结果出来后没有发生栓塞,医护人员和家属都松了一口气,考虑跟胸水吸收后引起的胸膜牵扯痛有关系,对症处置后2-3天胸痛消失,发热也很快消失。

      几天前,七七终于出院了。在最后一次查房时,家属拿出来早就准备好的锦旗,感动的对科室的医护人员们说:“早就想给你们了,谢谢你们!你们的技术真行!”
      虽然小儿肺炎支原体重症肺炎高峰已过,但近期仍间断有重症支原体肺炎出现。若身边的孩子出现持续高热、咳嗽、呼吸困难、精神不振等表现,家属应给予重视,及早治疗,必要时尽早行支气管镜介入治疗,既可缩短病程,减少住院时间,也可有效的减少远期并发症的发生。
      家长们不要谈“镜”色变,在麻醉的辅助下,小小的支气管镜可以起到大作用。小儿呼吸科拥有专业的医护团队,不仅仅是锦州,更是承担起辽西地区小儿支气管镜介入治疗的重任,为广大儿童的身心健康保驾护航!


供稿科室|内一科   文|齐思梦
图文审核|吕长刚
编辑制作|姜任龙
图文校对|苏茜 胡爽 李扬 刘玉春
  • 医院地址:锦州市古塔区解放路三段2号
  • 白天 08:00-16:30 0416-2111450 夜间 13304069399
  • 生殖医学分院地址: 锦州市松山新区市府路36号
  • 电 话: 0416-3856339/0416-2111416
  • 网 址:http://www.jzsfy.com
页面版权归锦州市妇婴医院所有 本站内容仅供参考,不作为诊断及医疗依据    技术支持:锦州纳腾科技