当宝宝来到这个世界2月时,视力约为0.01-0.02,这个阶段,家长务必高度关注宝宝眼部外观情况。仔细观察宝宝对光亮有无反应,及时评估婴儿的近距离视物能力,3月龄时婴儿应有追视及注视能力...
09-182024想象一下,可爱的小宝贝们本应该在成长的道路上欢快地探索世界,可如果不幸被疾病缠上,那可真是让人揪心啊。 近期我院PICU收治了一名8个月的患儿,这名小患者因为肺炎、心肌酶升高...
09-182024中国预防出生缺陷日是每年9月12日。今年是第20个中国预防出生缺陷日,国家卫生健康委办公厅发出《关于开展2024年预防出生缺陷日主题宣传活动的通知》,确定今年的宣传主题为“预防出生缺陷,守...
09-182024人类获取的信息83%来自视觉,新生儿眼病不易观察,病种繁多,治疗窗口期短,通过对新生儿的眼病筛查可以及时发现一些眼部疾病。 (1) 检查眼外观: 通过眼外观...
09-092024近日,我院PICU收治了一名先天性肺囊性腺瘤样畸形患儿,患儿母亲于孕22周产检时行超声检查发现胎儿存在该问题,胎儿期已诊断先天肺囊性腺瘤样畸形,在我院顺利生产,生后37天因并发感染于我院P...
09-092024最近儿科门诊经常能见到反复高热的患儿,家属非常忧心地述说“大夫,孩子一烧就40度,根本降不下来咋整”;再一问,大多伴有咽喉痛、眼睛红、精神状态不佳、纳差、腹痛等,经上呼吸道病原谱检测提示:...
09-022024痛经是指月经前后或月经期出现下腹部疼痛、坠胀,伴有腰酸或其他不适。痛经分为原发性和继发性两类。今天一起聊聊较常见的原发性痛经。 原发性痛经占痛经的90%以上,在青春期较为常见,...
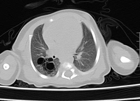
09-022024近期我院PICU科收治了一名5岁患儿,这名小患者于兴城急诊转入我院,入院时患儿呼吸急促,鼻扇及三凹症明显,语颤,胸部皮下握雪感,经皮血氧饱和度85%,进一步完善胸部CT明确为纵隔气肿。纵膈...
09-022024妇科快速康复(ERAS in Gynecology)是一种以降低手术并发症、促进患者快速恢复为目标的创新理念。它强调通过多学科协作、优化围手术期管理和疼痛控制等手段,为患者提供个性化的康复方案,包括早...
08-272024宝宝快要出生了,很多新手爸爸妈妈都比较紧张,不知道什么时候需要就医,往往手忙脚乱,我们为准妈妈们整理了一些临近分娩会出现的几种情况,以备大家能够做好充分的准备,让生宝宝不在忙乱。...
08-272024